As quedas são a principal causa de fratura do colo do fémur, e os idosos são a população de maior risco devido à elevada incidência de várias doenças associadas, mas principalmente devido à osteoporose, a doença da perda da densidade óssea. Nos Estados Unidos, por exemplo, 20% das pessoas a partir de 65 anos são hospitalizadas.. Trocanter (do grego: trokhantêr ), também por vezes grafado trocânter, é a designação dada a cada uma das proeminências ósseas da parte superior do fémur da maioria dos mamíferos, incluindo os humanos. A designação é também aplicada a um dos segmentos em que se devide a perna dos artrópodes, localizada entre a coxa e o fémur.

Fratura do fémur e cirurgia, complicações, riscos
Complexo Saúde Reabilitação de fratura do Fêmur

fratura do colo do fêmur Artrite Reumatoide

Epifisiólise Proximal Do Fêmur EDULEARN

Broken femur types, causes, treatment, recovery time & complications

Fraturas do Fêmur Dr. Felipe Bessa Especialista em Quadril
Amadurecendo Com Saúde Fratura do femur em crianças O tratamento.

Fêmur porção anterior Imagem ilustrativa para treino dos acidente ósseos Anatomia I

Rx de fémur A) AP; B) Lateral. Se observa lesión lítica mal... Download Scientific Diagram

Fratura Transtrocantérica do Femur Dr. Luiz Marchese YouTube

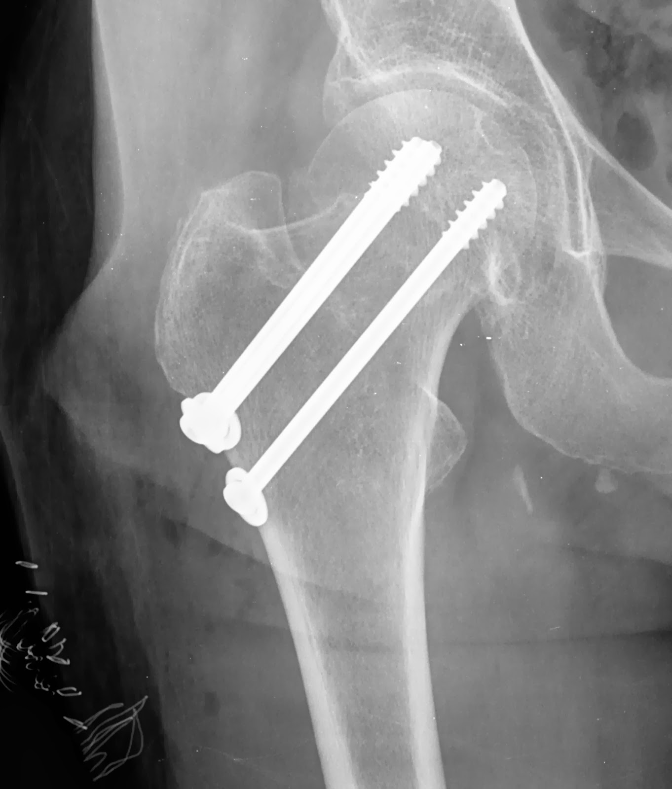
Fractura pertrocantérica do fémur esq e seu tratamento cirurgico Enfermagem em Ortopedia

DICAS DE RADIOLOGIA Tudo Sobre Radiologia IMAGEM DE RAIO X FRATURA NO FÊMUR

Fraturas do Fêmur Dr. Felipe Bessa Especialista em Quadril

Fraturas do Quadril Transtrocanteriana e Colo do Fêmur

Colo do Fêmur Fratura Artroplastias

Fratura do fêmur em idosos, sintomas, tratamento, fisioterapia e reabilitação

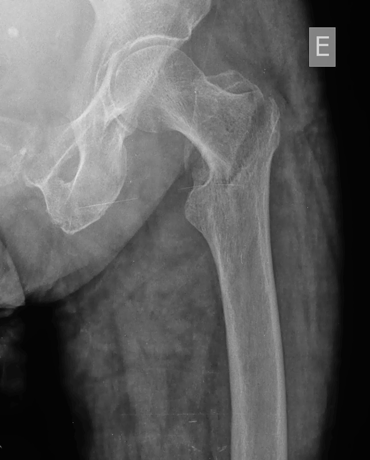
Fractura do colo do fémur a direita, tipo Garden I e seu tratamento cirurgico Enfermagem em

Fratura do fêmur proximal Sintomas e Tratamentos

Imagen de rayos x de fractura de fémur Foto Premium

Necrose da cabeça do fêmur Osteonecrose Clínica Dr. Hong Jin Pai Dor e Acupuntura Médica
O derrame pleural é caracterizado justamente pelo excesso de líquido seroso. O problema decorre de uma produção descontrolada do líquido, e pode estar ligado a uma falha no processo de reabsorção executado pela linfa. Com o acúmulo de líquido seroso na cavidade pleural, o armazenamento de ar dos pulmões fica severamente comprometido.. Sintomas da bursite trocantérica. O principal sinal do quadro clínico da bursite trocantérica é a dor na lateral do quadril, facilmente indicada com a ponta do dedo pelo paciente, a dor pode irradiar para a coxa e panturrilha, devido à alteração no modo de movimentar-se, forçando assim o músculo da coxa e panturrilha, esta dor.